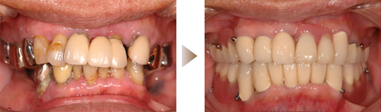
歯周病は、30歳以上の日本人の約8割がかかっていると言われている病気です。歯周病は歯を溶かすだけでなく、全身疾患にもつながる可能性があります。

歯周病とは、歯ではなく歯を支える骨や歯肉などを侵食してしまう病気です。お口の中の細菌によって歯肉が炎症を起こし、歯を支える骨が溶け、やがては歯が自然に抜けてしまいます。そして何よりも恐ろしいのが、初期のうちは痛みなどの自覚症状がほとんどなく、気づいたときには進行し、すでに骨が溶け始めていることです。
歯周病は骨の病気
歯周病が進行すると歯周ポケットが少しずつ深くなり、細菌の感染が深い部分にまで及んでしまいます。そして、歯を支える骨が次第に溶け出し、歯がひどく揺れるようになってしまいます。
しかし、歯が揺れるなどの自覚症状が出てからではすでに手遅れです。こうなると、残念ながらほとんどの場合は歯を抜かなければなりません。そのまま放っておいても、いずれは骨が溶けて自然に歯が抜けてしまいます。
以上からもわかるように、歯周病は歯や歯ぐきの病気ではありません。歯を支えている骨が溶けてしまう病気なのです。




















